Resin Infiltration




Here, our dentists at Prestige Dental permanently removed large white spots from teeth instantly with no drilling using Icon resin infiltration.
Smile Makeover





Smile makeover for a patient with permanently discolored teeth from tetracycline!



Close spaces between teeth with veneers for a beautiful smile you can be proud of!





Rejuvenate your confidence with a smile makeover! Here, we replaced old, stained and discolored restorations with premium veneers to correct the color, size and shape of the teeth.
Veneers




Close spaces between teeth and cover dark spots easily with durable veneers for long-lasting, beautiful results!




Replace old, discolored veneers with
new beautiful restorations!


Close spaces between teeth with gorgeous porcelain veneers!



Smile make-over!
Close unsightly spaces between teeth!
Crowns




Replace large, discolored and broken fillings with crowns and veneers for a beautiful new smile!

Close spaces and align teeth with porcelain crowns and veneers!


Here Dr. Bouzoghlanian replaced the missing crown with zirconia for a durable, perfect match!

Replace old restorations!


Dr. Bouzoghlanian at Prestige Dental replaced the old, broken ceramic crowns with custom zirconia crowns. The zirconia is many times stronger than ceramic, creating a more durable and esthetic option! This material works great for people with a heavy bite or grinding habit, and is less abrasive than ceramic on the lower teeth.
Dental Implants





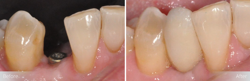
Dr. Bouzoghlanian replaced the missing tooth with a dental implant supporting a custom abutment and premium zirconia crown. Using modern technology, the abutment was CAD/CAM designed and milled to fit the area perfectly. The crown is highly durable and blends seamlessly with the natural teeth.


Our dentists at Prestige Dental replaced the missing tooth with a dental implant and custom zirconia crown. The results are beautiful, natural and permanent!


Replace missing teeth with dental implants!


Dental implants used to restore an entire smile!

Make dental implants a permanent part of your smile!


A durable and esthetic custom ziconia crown was used with this dental implant to beautifully replace the missing tooth
Complex Reconstruction


Smile transformation using porcelain crowns, bridges, and premium dentures!
White (Composite) Fillings

Cover white spots on teeth with composite bonding for natural results!

Repair broken teeth with beautiful resin fillings!

Replace silver fillings to improve your smile



Remove stains and spots and repair fractures in one visit with composite bonding for a smile makeover!


Same day smile makeover with tooth colored fillings!
Composite Bonding



Close bothersome food traps and gaps between teeth in one visit with bonding!


Close gaps between teeth with special composite resin bonding for beautiful, natural results!


Make chipped teeth look brand new with
composite resin bonding!


Dr. Bouzoghlanian beautifully restored the chipped teeth in one visit with composite bonding to restore the smile and protect the enamel.

Here, Dr. Bouzoghlanian used specialized techniques and 3 colors of composite resin bonding to expertly match and repair chipped enamel. Our cosmetic dentistry experts deliver amazing results!
Teeth Whitening

Whiten your teeth for a dramatically improved look!




























