
Restore chipped teeth and fill gaps between teeth
The Problem:
- Unsightly gaps between front teeth
- Slightly chipped teeth
- Worn, rough or jagged edges on front teeth
- Dull colored or stained teeth
The Solution:
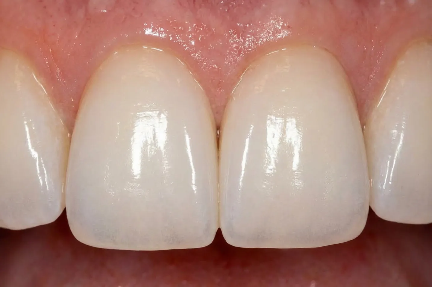
Composite resin is a white, tooth-colored material that can be shaded to match your teeth. This material is applied to your teeth and sculpted to cover or replace the problem area. The material bonds to the surface of your teeth like a glue. It is often “cured” or hardened with a special blue colored light.
Advantages of Composite Bonding
When skillfully applied and sculpted, this material allows you to have a natural, beautiful improvement in your smile in just one visit! This material also works well as a long lasting temporary restoration to improve smiles in children and young adults that may experience changes in their smile from growth.
Disadvantages of Composite Bonding
Bonding is initially less expensive than porcelain veneers. However, it tends to break down and discolor in several years and will need to be replaced. For this reason, porcelain restorations are usually more cost effective over time.
Alternatives for Composite Bonding
Porcelain veneers or crowns are an excellent, longer lasting alternative. Orthodontics may be used as an alternative to straightening teeth and close spaces, although this process generally takes much longer. Teeth whitening may also be an alternative to improve the appearance of dull colored or stained teeth.

