
The Problem:
- Decay on a portion of any tooth
- Desire to replace old-fashioned silver (mercury amalgam) fillings
- Desire to maintain a white, beautiful smile
Composite Filling The Solution:
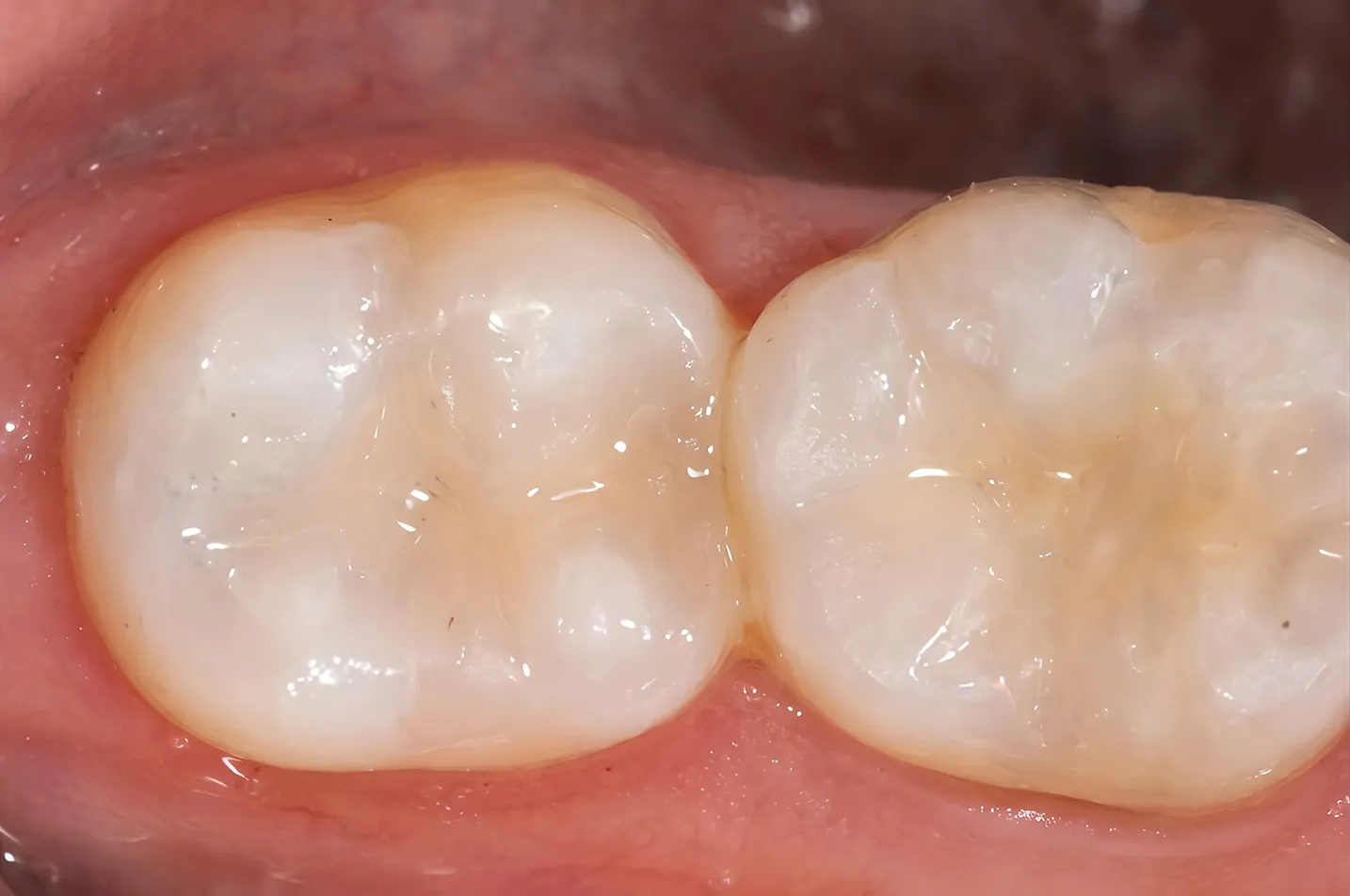
A composite filling is a tooth colored quartz-like material. After tooth decay is removed and cleaned, this tooth colored material is layered into the tooth. Each layer is hardened or cured with highly intense visible light, and the final surface is shaped and polished to match the tooth. The final restoration is virtually invisible.
Advantages of Composite Filling:
Composite fillings are more than just attractive. They are environmentally non-toxic because they use no mercury. They are stronger because they bond directly to the surface of the tooth. They protect the tooth from fracturing because they don’t require the severe “undercut” (removal of healthy tooth structure) of a silver filling, and they don’t expand like silver fillings, causing stress to build up within the tooth.
Disadvantages of Composite Filling:
The initial investment in a composite filling is higher than that for a silver filling. This is due to the fact that the composite material is more expensive and the restoration is more difficult and time-consuming to place. However, this initial higher investment is offset in the long run by the health benefits and reduced likelihood of restoring potentially fractured teeth.
Alternatives to Composite Filling:
Inlays/onlays are sometimes good alternatives to composite fillings, offering excellent long term durability. In cases of extensive decay, inlays/onlays or crowns are the only alternative.
Silver Fillings
A cost effective way to restore a small amount of tooth decay.
The Problem:
- A small amount of decay on a portion of a back tooth
The Solution:
Silver (or amalgam) filling is a mixture of approximately 50% silver/tin alloy and 50% mercury. After tooth decay is removed and cleaned, this gray colored material is packed into the tooth, shaped, and polished.
Advantages of Silver Fillings:
Silver fillings have been used for more than 125 years. Their biggest advantage is that they are quickly placed, making them relatively inexpensive. They are also fairly durable, and excellent for repairing existing metal restorations. During placement, silver fillings tolerate moisture and saliva better than composite fillings, so your doctor may suggest using them if there is difficulty keeping the tooth dry during the procedure.
Disadvantages of Silver Fillings:
Silver fillings do not bond (stick) to the tooth structure. This requires the preparation to be “undercut,” creating a chamber that is smaller at the surface of the tooth and wider inside. This undercut keeps the filling from falling out of the tooth.
The problem is that the creation of this undercut requires the removal of more healthy tooth structure. This weakens the tooth and predisposes it to fracture when biting into hard items. Since fillings will break down from normal wear, they will eventually need to be replaced, and this will require the removal of even more healthy tooth structure. In addition, silver fillings can discolor (tarnish) with time, and also discolor the tooth, creating an unsightly appearance. The discoloration occurs from corrosion of the silver material. This corrosion can also cause the filling to expand with time and create stress inside the tooth, further increasing the risk of tooth fracture. As such, silver fillings work well when the filling is small, so the risk of fracture is reduced.
Though silver fillings contain some mercury, current studies indicate what appear to be no measurable health risks to patients. However, we do know that mercury is a highly toxic material that can cause neurological and kidney disease. Adults and children have even been warned to limit the consumption of certain types of fish that carry high levels of environmental mercury. Even if there are no direct risks to patients, the extensive use of mercury in fillings may have a long-term environmental impact.
Alternatives to Silver Fillings:
Composite (white) fillings are an excellent alternative, limiting the removal of healthy tissue and posing no known environmental risk. In cases of extensive decay, inlays/onlays or crowns are a much better restoration.

